Cas du mois Août 2020 - Cardiologie pédiatrique-

Rythmologie - cas de mois STCCCV Cardiologie-pediatrique - cas de mois STCCCV Cardiologie Interventionnelle - cas de mois STCCCV Imagerie cardiaque - cas de mois STCCCV Chirurgie cardiaque - cas de mois STCCCV Cardio-Oncologie - cas de mois STCCCV

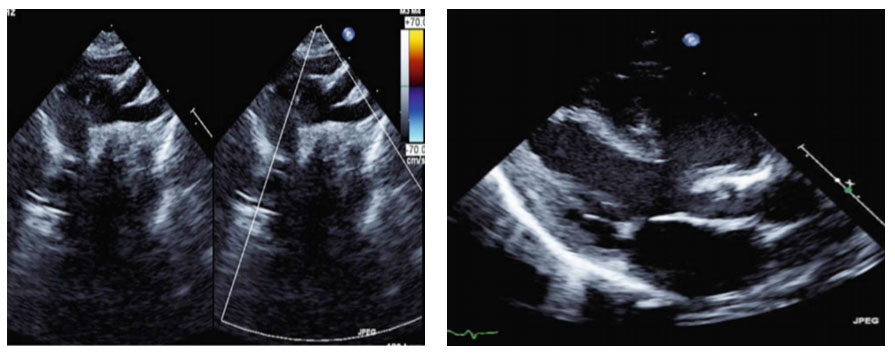
Détresse cardiorespiratoire néonatale

Vignette Clinique : Nouveau né de sexe masculin,  admis en  néonatologie   à   J2  de vie  pour défaillance cardio-circulatoire et respiratoire aigue nécessitant l’intubation naso-trachéale.
Examen physique: - Dysmorphie faciale
Auscultation cardiaque : souffle  systolo-diastolique sous claviculaire   Gauche
Pouls fémoraux abolis.
La saturation mesurée au membre supérieur droit est à 99%  et  celle  du  membre  inférieure droit est de  55  %  sous 100% d'oxygène
La radiographie de thorax :   une cardiomégalie, une surcharge pulmonaire et absence d’empreinte thymique. 
 

Quels sont les diagnostics à évoquer?

Quelle est votre conduite à tenir thérapeutique

Quel est le diagnostic le plus probable