Cas du mois Octobre 2019 - Cardiologie pédiatrique-

Rythmologie - cas de mois STCCCV Cardiologie-pediatrique - cas de mois STCCCV Cardiologie Interventionnelle - cas de mois STCCCV Imagerie cardiaque - cas de mois STCCCV Chirurgie cardiaque - cas de mois STCCCV Cardio-Oncologie - cas de mois STCCCV

Une anomalie congénitale peut faire oublier une autre

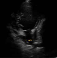
Il s’agit d’un enfant âgé de 3 ans qui s’est présenté pour une dyspnée d’effort associée à une toux sèche, L’examen a objectivé un tableau d’insuffisance cardiaque globale avec un souffle systolique au foyer mitral. L’enfant est adressé pour réalisation d’une échographie cardiaque :

Il s’agit de :